This owner’s manual will cover what you need to know so you can keep your mouth healthy and your smile looking great. It will also tell you about the options for treating your teeth and gums if you’ve begun to experience any mouth disease. Keep in mind that your dentist is a key partner in achieving your goal of excellent oral health. He or she can help you decide which dental options are right for you.
This manual explains:
- The parts of a tooth
- The connection between your oral health and overall health
- Why it’s important to brush and clean between your teeth
- Dangers of tobacco use
- Why a healthy diet is important to your smile
- Gum disease and what you can do to lower your risk
- How cavities form and what you can do to prevent them
- How you can improve the look of your smile

What are your teeth made of?
Your tooth looks like one solid piece, but it has many layers. Take a look at the picture of the inside of the tooth on page 2. You’ll see that there are two main parts of the tooth: the crown and the root.
The crown is the part of the tooth you can see. It includes:
- Enamel (e-NAM-ul) — the hardest outside layer that protects a softer inner layer
- Dentin (DEN-tin) — the calcified, tough, inner layer of the tooth
- Pulp chamber — the space in the center of your tooth that holds the nerves and blood vessels (pulp)
- Gingiva (JINJ-eh-vuh) — the gums that support your tooth and fit around it like a cuff
The part of the tooth you can’t see is the root; it holds the tooth in place in your jawbone. Your tooth’s roots need to be healthy so they stay strong and can keep your teeth in the right position. This helps your teeth work together so you can eat and speak properly — and makes your smile look great, too!
The root part includes:
- Dentin
- Your jawbone
- Periodontal ligament (LIG-uh-ment) — a type of tissue that helps hold your tooth in your jawbone
- The blood and nerve supply (pulp) also run down into the root through the root canal
The connection between your mouth and body
Taking good care of your teeth and gums isn’t just about preventing cavities or bad breath. Your mouth is a window into the health of your body. It can show if you are not eating foods that are best for you or signal that you may be at risk for a disease. Diseases that lower your body’s ability to fight infections may raise your risk of oral diseases. Gum disease may also be connected with other health issues, such as type II diabetes, some types of heart disease and stroke. However, a link between these conditions and gum disease does not mean that one condition causes the other.
Steps to Keeping Your Mouth Healthy
It’s important to keep your teeth and gums healthy to prevent tooth decay and periodontal (perry-oh-DON-tal) disease, also known as gum disease. This is especially true because gum disease and other health problems may be linked.
Here are the basic steps to keeping your mouth healthy:
- Brush your teeth twice a day for two minutes each time and clean between your teeth once a day.
- Visit your dentist regularly for an exam and professional cleaning.
- Avoid tobacco of any kind.
- Make healthy food choices.
Daily care
Daily cleanings are important to prevent tooth decay and periodontal disease. This is because your teeth are covered with a sticky film of bacteria called plaque. Plaque that is not removed can irritate your gums, making them swollen or causing them to bleed. This is called gingivitis (jin-ji-VY-tis), the early stage of periodontal disease.
Brushing and cleaning between your teeth every day helps remove food particles and plaque from your mouth. Here are some tips on making good oral care part of your daily routine:
Brushing
- Brush your teeth twice a day for two minutes each time and with a toothpaste that has fluoride (FLOOR-eyed) in it. Fluoride is a mineral that helps strengthen the enamel in your teeth and can help protect them from tooth decay.
- Choose a soft-bristled toothbrush in a size and shape that will fit your mouth comfortably.
- Get a new toothbrush when the bristles show signs of wear, usually after about three months.
- If you have trouble holding a manual toothbrush, you may want to try using an electric toothbrush instead. Both manual and electric toothbrushes are effective at removing plaque.
How to brush your teeth
Your dentist or hygienist can show you how to properly brush your teeth. Here are some tips to get you started:

Step 1
Place your toothbrush against your gums at a 45-degree angle. Move the brush back and forth gently and in short strokes, about as wide as each of your teeth.

Step 2
Brush the outer tooth surfaces, keeping the toothbrush at an angle to the gums.

Step 3
Brush the inner tooth surfaces.

Step 4
Brush the chewing surfaces.

Step 5
Use the top part of the brush to clean the inside surface of the top and bottom front teeth. Use a gentle up-and-down motion.
Cleaning between your teeth
- Clean between your teeth every day. This is necessary to remove bits of food and plaque from places your toothbrush can’t reach, like under your gum line and between your teeth.
- There are many products designed to clean between your teeth, including dental floss, floss holders, water flossers, special picks or narrow brushes that reach between teeth.
- If you need help, ask your dentist or dental hygienist.

Mouthrinses
- Different types of mouthrinses can be used to freshen breath, help prevent or control tooth decay, reduce plaque and tartar or prevent or reduce gingivitis.
- Rinse before or after brushing, but don’t skip brushing or cleaning between your teeth. Mouthrinse is not a replacement!
- Your dentist can tell you whether you need to use a mouthrinse and which type is best for you.
Look for the ADA Seal
When shopping for oral health care products like toothbrushes, between-the-teeth cleaners or mouthrinses, look for the ADA Seal of Acceptance on the package. The Seal tells you that the product has met the ADA’s standards for safety and effectiveness.

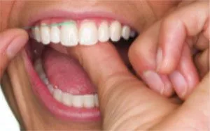
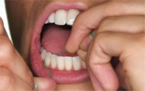
How to floss
Flossing might feel clumsy at first. It takes a little time to get the hang of it. Here are some tips on how to floss:
1. Break off about 18 inches of floss and wind most of it around one of your middle fingers. Wind the remaining floss around a finger on the other hand. This finger will take up the used floss.

2. Hold the floss tightly between your thumbs and forefingers. Guide the floss between your teeth, using a gentle rubbing motion. To avoid injuring your gums, never snap the floss into gum tissue.

3. When the floss reaches the gumline, curve it into a “C” shape against one tooth. Gently slide it into the space between the gum and the tooth.

4. Hold the floss tightly against the tooth. Gently rub the side of the tooth, moving the floss away from the gum with up and down motions.

5. Repeat this method on the rest of your teeth. As you move from tooth to tooth, unwind the clean floss with one finger and take up the used floss with a finger on the other hand. Do not forget the back side of the last tooth.

Why should you visit your dentist regularly?
You may think that your teeth are in fine shape because you brush and clean between them every day. But, your home care routine is only part of the plan — your dental team plays a very important role, too.
Your dentist can:
- Help prevent gum disease
- Check for tooth decay and other oral diseases or conditions
- Check for signs of oral cancer
- Remove plaque. Plaque that is not removed hardens into tartar, which can only be removed by a dental visit. Tartar makes it difficult to clean your teeth on your own.
- Get rid of food, drink or tobacco stains on the surface of your teeth that cannot be removed with regular brushing and flossing
- Teach you about the best way to keep your teeth clean on a daily basis
Each time you visit the dentist, tell him or her about changes in your overall health, especially if you have been sick lately or if you have any ongoing conditions. Also tell your dentist about all medications, drugs and vitamins you are taking.
Tobacco means trouble!
If you use tobacco in any form, you are setting yourself up for trouble. Whether you smoke, dip or chew, consider these tobacco-related threats to your oral health:
- oral cancer
- gum disease — a leading cause of tooth loss and of sensitivity to hot and cold
- bad breath
- stained teeth and tongue
- reduced sense of taste
- slow healing after having a tooth pulled or other oral surgery
E-Cigarettes and vaping
Many people are turning to electronic cigarettes and vaping devices because they believe they are a safer and possibly healthier alternative to traditional tobacco products like cigarettes, pipes and cigars. However, there is no current evidence that shows e-cigarettes and vaping devices are any safer than regular tobacco products.
Many toxic ingredients are found in both cigarettes and e-cigarettes. It is not easy to quit using tobacco, but it is important. Try to do it the right way and not replace one bad habit with another. Talk to your dentist about ways you can stay motivated to quit.
Tips to help you kick the habit are also online at www.smokefree.gov, or by calling 1.800.QUITNOW.
Make healthy choices with your diet
A well-balanced diet helps you have good energy levels and a healthy weight and can lower the number of times you get sick. It may also improve your chances of avoiding diseases like heart disease, type II diabetes and oral diseases, like tooth decay.
However, certain eating patterns and food and drink choices can lead to tooth erosion and cavities. A steady supply of sugary or acidic foods and drinks, including sports drinks, sodas and energy drinks, can damage your teeth.
Plaque is the sticky film of bacteria that forms on your teeth. When plaque is left on your teeth, the bacteria in the plaque use the sugar in food and drinks to make acid. This acid attacks your tooth enamel. Eventually, your enamel can break down from these acids and cavities can start to form.
When you have sugary or acidic foods or drinks many times a day, it exposes the enamel of your teeth to acid attacks throughout the day. This raises your risk of getting cavities or wearing away the enamel surface. This wearing away is called tooth erosion.
Making the right food and drink choices can help keep your mouth healthy.
Here are some simple steps you can follow:
- Avoid foods and drinks high in sugar or acid, which increases the risk for cavities or tooth erosion. These include drinks such as soda, sports drinks, flavored waters or even 100% fruit juices.
- Limit snacking throughout the day. If you do snack, make healthy choices like fruit, nuts or cheese.
- If you do have sugary foods or drinks, have them with meals instead of as snacks. Saliva increases during meals, which helps weaken acid and rinse bits of food from your mouth.
- Drink water with fluoride between meals, which helps your overall health. Also, drink water after eating to help wash away food particles.
Common Dental Problems
Gum disease
Gum disease, also called periodontal disease, is very common. It affects people of all ages, and many may not even know they have it.
What is gum disease?
Gum disease is an infection that affects the tissues and bone that support your teeth.
Healthy gum tissue tightly hugs each of your teeth. When you have gum disease, your gums pull away from your teeth and become red, puffy and swollen. As the disease gets worse, the tissue and bone that support your teeth are destroyed. Over time, teeth may need to be removed. Treating gum disease in the early stages can help keep tooth loss from happening.
What causes gum disease?
Gum disease is caused by plaque. If your teeth are not cleaned well, your gums can become irritated, swollen and red.
Swollen and red gums can pull away from your teeth and form spaces called pockets. These pockets provide a space for more bacteria. If the infected pockets are not treated, the disease can get worse and the bone and other tissues that support your teeth can be damaged.
Other things that may increase your risk of gum disease include:
- using tobacco products of any kind
- diseases that lower your body’s ability to fight infection
- pregnancy, use of birth control pills or changes in female hormone levels
- certain medicines, such as steroids and blood pressure drugs
- family history
How do I know if I have gum disease?
It can be hard to know. You can have gum disease without clear signs of it. That’s why regular dental exams are so important.
If you notice any of these signs, see your dentist:
- gums that bleed when you brush or floss
- gums that are red, swollen or sensitive
- gums that have pulled away from your teeth
- bad breath that doesn’t go away
- pus between your teeth and gums
- loose or separating teeth
- a change in the way your teeth fit together when you bite
- a change in the fit of partial dentures
Treatment
A patient with gum disease usually needs more dental visits than a patient without gum disease. Your dental team may treat the disease with a professional cleaning, a deep cleaning called scaling and root planing or sometimes combining cleanings with medication to treat the infection. You may need extra treatment if your gum disease is too far along and a deep cleaning by itself won’t heal your infection completely.
You can fight gum disease with good oral care, regular dental visits and by saying “no” to tobacco products.
Tooth decay and cavities
What is tooth decay?
Tooth decay is a disease that damages and breaks down the layers of your teeth. When you eat and drink, bacteria in your mouth feed on the sugars that are found in these foods and drinks. The bacteria create acids that break down the enamel.
What are cavities and what causes them?
When tooth decay gets through your enamel, a cavity can form. Once the cavity forms in your enamel, it can continue to spread deeper into the layers of your tooth.
Only a licensed dental professional can treat and repair your tooth once a cavity has formed.
If the cavity gets to the pulp chamber, bacteria can infect the pulp in your tooth. This can be very painful. An abscess (AB-sess) —or a pus-filled sac — can form and even become a serious, life-threatening infection if it is not treated.
A cavity that isn’t treated can lead to pain and loss of teeth. If you have tooth pain, you might not be able to get through your daily routine. You also may not be able to eat or sleep properly and could miss days of work or school.

Can cavities be passed from person to person?
Not exactly, but the bacteria that cause tooth decay can be shared. Bacteria can be passed by kissing, sharing a cup or spoon or anything else that carries a drop of saliva from one mouth to the other. Parents: do not share your toothbrush with your child!
Signs of a cavity
Tooth decay can get worse quickly, but it often takes months for a cavity to develop. Signs of having a cavity can include:
- a white spot on your tooth that doesn’t go away after brushing
- loose fillings or crowns
- sensitivity to heat or cold
- tooth pain
You may notice one or more of these signs. Or, you may not notice any signs at all. The best way to tell if you have a cavity is to visit your dentist for regular appointments.
How are cavities treated?
Treatment for your cavity will depend on how far inside your tooth the decay has spread. Cavities will require some type of filling. This means that the dentist will remove the decay and fill the hole in your tooth with a material that will restore your tooth’s shape and protect it from any more damage.
If your cavity is very large, a filling may not be enough. Your tooth may need to have a crown, an inlay or an onlay placed on it.
If the pulp tissue is infected, you may need a root canal treatment.
If your tooth is badly damaged from a cavity, it may have to be removed. Your dentist will talk with you about your options and the best way to get your mouth healthy again.
It is easier and more affordable to prevent tooth decay than to repair a decayed tooth!
How to avoid cavities
Anyone can experience tooth decay or get a cavity, but here are some steps you can take to help prevent cavities from forming.
- Brush your teeth twice a day for two minutes each time using a toothpaste that contains fluoride, a natural mineral that strengthens enamel
- Clean between your teeth with floss or another between-the-teeth cleaner once a day
- Avoid sipping and snacking on sugary, sticky or acidic foods and drinks
- Drink water that contains fluoride
- Chew sugarless gum with the ADA Seal of Acceptance after eating to help increase saliva flow and rinse away sugars
- Visit your dentist regularly for exams and professional cleanings
- Ask your dentist if dental sealants are right for you
By following a healthy oral care routine, making smart food choices and visiting your dentist regularly, you can lower your risk for cavities.
Other Treatments Your Dentist Can Provide
If you are having a dental problem like gum disease or tooth decay, your dentist can recommend a treatment that is right for you. Your dentist can also talk with you about your options for replacing any missing teeth or for otherwise improving your smile.
Replacing missing teeth
All of your teeth work together to help you chew, speak and smile. When teeth are missing, it can be difficult to do these things. Also, the loss of a tooth may cause your mouth to sink and your face to look older. If one or more teeth are missing, your dentist can replace them with a dental implant, a fixed or removable bridge or a denture. Discuss replacement options with your dentist to find one that meets your needs. (Also see information on implants on page 18.)
Improving the look of your smile
Your dentist has many different techniques to shape and sculpt your smile. With a few simple steps, you can have a smile that will make you feel great. And, treatment may be more affordable than you think.
Here are some issues that can be corrected by dentists:
- Discolored or darkened teeth can be lightened
- Broken or chipped teeth can be repaired
- Gaps between teeth can be filled in
- Poorly shaped teeth can be reshaped
- “Gummy” smiles can be corrected by reshaping/reducing the gum tissues
- Crooked teeth can be straightened with braces or other methods
Dental implants
Many people choose implants to replace a single tooth, several teeth or to support a full set of dentures. Implants are posts that are surgically placed in your upper or lower jaw, where they join with the jawbone and act as a sturdy anchor for replacement teeth.
Dentures, bridges or single teeth mounted to the implants won’t slip or shift in your mouth — a very important benefit when eating and speaking. Implants are also a good value because they can last a lifetime with good care.
However, implants are not an option for everyone. Because implants require surgery, you should be in good general health. Also, you either must have enough bone to support the implant, or be able to grow enough bone. If you smoke or have a chronic illness or high blood pressure, you may not be a good candidate for implants.
Your dentist can help you decide if implant treatment is right for you. There are many different kinds of implants. Treatment can take only one day, or it can take several months, or somewhere in between. Your dentist can outline a treatment plan that is most likely to be successful for you.

Top Tips for a Healthy Smile
- Brush your teeth twice a day using a fluoride toothpaste and for two minutes each time.
- Floss or use another between-the-teeth cleaner every day.
- Visit your dentist regularly for an exam and cleaning.
- Tell your dentist about changes in your medicines or overall health.
- Make healthy food choices and limit sugary and acidic snacks and beverages.
- Avoid tobacco of any kind.
- Choose dental products with the American Dental Association Seal of Acceptance.
- If you see changes in your mouth, make an appointment with your dentist.
Teeth can last a lifetime if you take good care of them!