A healthy start is smart
Baby teeth are just as important as adult teeth. Baby teeth (also called primary teeth) help your child chew and speak. They also give the face its shape and hold space for adult teeth to come in the right way. That’s why it’s smart to take good care of baby teeth.
How baby teeth develop
When your baby is born, they already have 20 baby teeth hidden in their jaws. Your baby’s first tooth begins to come in (or “erupt”) as early as 6 months after birth. The front 2 upper and 2 lower teeth usually appear first.
Most children have a full set of 20 baby teeth by the time they are 3 years old. As your child grows, their jaws also grow to make room for their adult teeth. By the age of 5 or 6, their adult teeth begin to erupt.
Holding space for permanent teeth
Sometimes a baby tooth is lost before the adult (permanent) tooth beneath it is ready to come in. If a baby tooth is lost too early, nearby teeth can shift into the open space. And when the adult tooth is ready to come into the space, there may not be enough room. The new tooth may be unable to come in. Or, it may erupt crooked or in the wrong place.

If your child loses a tooth early, the dentist may recommend a space maintainer. This is a plastic or metal piece that holds open the space left by the missing tooth. The dentist will remove this plastic or metal piece once the adult tooth begins to appear.
You can prevent decay in baby teeth
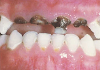
Tooth decay in baby teeth can affect the growth of adult teeth. It also can be painful. Your child may avoid eating and speaking normally if they have tooth pain, so it is important to take good care of baby teeth even though they will fall out later.
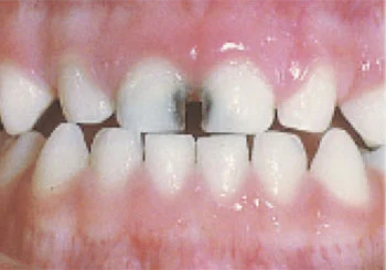
Decay can start as soon as teeth appear in your child’s mouth. Decay happens when baby teeth are in contact for long periods with liquids that have sugar in them. These liquids include sweetened water, soda, fruit juice, and even milk or formula.
Tooth decay can happen when you put your baby to bed with a bottle or use bottles to soothe them if they are fussy. Once your baby has started to eat solid foods, they may be given a bottle of water at these times.
Here are some tips to help protect your child’s teeth from decay:
- Do not let your baby or toddler fall asleep with a bottle containing anything other than plain water.
The American Academy of Pediatrics advises that you do not give your baby juice until after they turn 1 year old—even 100% juice. - If your baby needs comfort between regular feedings or at bedtime, give them a clean pacifier. Never dip a pacifier in sugar or honey.
- Do not put the pacifier in your mouth to clean it and then put it in your baby’s mouth. You may pass on decay-causing bacteria to them.
- Do not allow your child to frequently sip sugary liquids from bottles or training cups.
Decay in Baby Teeth




Clean your child’s teeth to keep them healthy
- After every feeding, wipe your baby’s gums with a clean gauze pad or wet washcloth. This removes plaque and bits of food that can harm erupting teeth.
- As soon as their first tooth appears (around 6 months old), start brushing your baby’s teeth
2 times a day (morning and night). - Use a child-sized toothbrush with soft bristles and a toothpaste that contains fluoride (FLOOR-eyed). Fluoride is a natural mineral that helps strengthen the outer layer of teeth.
- To clean your child’s teeth and gums, you can sit with their head in your lap. That way, you can easily see into their mouth.

For children under three years old.

For children three to six years old.
- The American Dental Association recommends that you brush your child’s teeth until they are at least 6 years old.
If they can’t tie their shoes, then they shouldn’t brush their teeth alone. When your child is old enough to do the brushing, watch to make sure they are not “rushing the brushing.” Also, make sure your child spits out the toothpaste instead of swallowing it. - Use floss or another tool to help clean between their teeth as soon as your child has two teeth that are next to each other. Ask your dentist or hygienist to show you the best way to clean between your child’s teeth.
- When choosing dental products, look for those with the American Dental Association’s Seal of Acceptance, which means they were tested and show to be both safe and effective.
