Mouth sores can be painful, annoying and unsightly.
Some appear inside the mouth – on the gums, tongue, lips, cheeks or palate (roof of the mouth). Others, like cold sores, can appear outside the mouth, such as on and around the lips, under the nose and on the chin.
Mouth sores can be caused by oral cancer or bacterial, viral or fungal infections. Some other causes include:
- Irritations, such as dentures that no longer fit properly and rub against tissues.
- Loose orthodontic wires or the sharp edge of a broken tooth or filling.
- Extreme sensitivity to ingredients found in some toothpastes or mouth rinses.
- Medication, cancer treatment side effects or reaction to therapy.
- Certain specific skin, oral or systemic diseases.
Although there are many types of mouth sores, the most common are canker sores, cold sores, leukoplakia (a thick white or gray patch) and candidiasis or thrush (a fungal infection).
Some people may experience occasional discolored, painless spots in their mouth. Most are harmless and will disappear or remain unchanged. However, some sores or spots can be serious and need the attention of your dentist or physician. For example, oral cancer may not be painful at first, but it can be deadly. That’s why regular dental checkups are important. Have your dentist examine any mouth sore or spot that fails to heal within two weeks.
Canker Sores
When you have sugary foods or drinks many times a day or sip the same sugary drink for a long time, acid attacks the enamel again and again. Repeated acid attacks can cause tooth decay, which must be treated by a dentist.
One way of making smarter food and drink choices is to read their labels to make sure they are low in added sugar.

The exact cause of canker sores is not known. Genetics play a role. White cells (lymphocytes) in our immune system may affect the lining of the mouth causing these irritating, but harmless, sores. Fatigue, emotional stress, and certain foods can increase the possibility of a canker sore for some people. Even biting the inside of the cheek or tongue or chewing a sharp piece of food may trigger a canker sore.
Canker sores are not contagious or precancerous. There is no permanent cure for canker sores; therefore, treatment is for discomfort or pain. Over-the-counter topical medications (such as numbing agents or protective ointments) and antimicrobial (germ-fighting) mouth rinses may offer temporary relief. Avoid hot, spicy or acidic foods and beverages that can irritate the sore. Treatment for an attack involves corticosteroids, Prednisone-like medications that control troublesome lymphocytes. The medication may be in a topical form (applied to the skin), or systemic (taken as a tablet or capsule).
Canker Sores

Cold sores are groups of painful, fluid-filled blisters (often called fever blisters). These unsightly sores usually erupt on the lips, and sometimes on skin around the lips. Clusters of small blisters may also occur on the gum tissue near the teeth and/or on the bony roof of the mouth.
Cold sores – caused by herpes virus Type 1 or Type 2 – are contagious. The initial infection (primary herpes), which often occurs before adulthood, may be confused with a cold or the flu.
The infection can cause painful lesions to erupt throughout the mouth, and some patients can be quite ill for a week. Most people who get infected with herpes do not get sick, however. Once a person is infected with herpes, the virus stays in the body, where it may remain inactive. Unfortunately, in some people, the virus becomes activated periodically, causing the cold sore to appear on the lips or other sites. A variety of irritants (wind, sun, fever, stress) can cause a flare.
Cold sores usually heal in about a week. Once the blister breaks, an unsightly scab forms. Over-the-counter topical anesthetics and protectants, anti-inflammatory agents or topical antiviral agents may provide temporary relief for the discomfort but do little to speed healing. As with the common cold, there is no cure for these viral infections. Topical or systemic antiviral drugs can be prescribed by your dentist, but they are ineffective after 3 to 4 days of blister formation and usually are not recommended in otherwise healthy patients.
Leukoplakia
Leukoplakia (loo-koh-PLAY-kee-ah) is a white or gray patch that develops anywhere on the inside of the mouth. It is caused by excess cell growth of the lining of the mouth. It is often a response to chronic irritation, such as smoking or smokeless tobacco (snuff, chewing tobacco), certain foods, cheek biting, irregular dental restorations or broken teeth. In some instances, a cause cannot be determined. Leukoplakia patches develop slowly over a period of time. The patch may eventually become rough. It typically is not sensitive or painful.

Leukoplakia generally is harmless, but there is a risk that it can become cancerous. To be certain that a spot or sore is not a threat, your dentist may do a biopsy to determine if any potentially dangerous cells are present. If the leukoplakia is sensitive, cancer must be ruled out by biopsy.
Erythroplakia

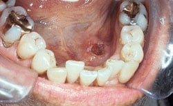
Erythroplakia (e-ryth-ro-PLAY-ki-a) is a red patch that may be found in any part of the mouth but is most common in the floor of the mouth or on the gum tissue behind the back teeth. The cause is unknown but is most likely associated with smoking or other tobacco use and alcoholic beverages. Chronic irritation and poor nutrition may also be contributing factors. Although erythroplakia is less common than leukoplakia, most of these lesions are found to be precancerous or cancerous when biopsied. Red lesions that do not heal in a week or two should be evaluated by your dentist. This applies even if you do not smoke or drink alcohol.
Lichen Planus
Lichen planus (li-ken PLAY-nus) is a disorder that involves a chronic, itchy, inflammatory rash or lesion on the skin or in the mouth. The lesions may consist of white spots or “lacelike” white changes. Lesions on the sides of the tongue, insides of the cheek and on the gums, may be tender or painful. Its cause is genetic and related to a chronic immune system reaction. Lichen planus generally occurs during or after middle age. Lichen planus is not contagious and does not pose a high risk for becoming cancer. There is no cure, so treatment is for discomfort or pain. Rinses, ointments, or pills can be prescribed by your dentist, if needed. The diagnosis can be confirmed by biopsy and clinical characteristics.

Candidiasis

Candidiasis (can-di-DI-a-sis), also known as oral thrush or moniliasis, is a fungal infection. It produces creamy white and red patches that form on surfaces of the mouth. It can be painful and may cause bad breath and difficulty tasting and/or swallowing.
It occurs when the yeast Candida albicans reproduce in abnormally large numbers. For example, Candida may flourish after antibiotic treatment, when normal bacteria in the mouth have decreased, when the immune system is suppressed or when the mouth is dry (xerostomia). Dry mouth is a common side effect of many prescription or over-the-counter medications.
Candidiasis most often occurs in the very young, the elderly, and those debilitated by disease, such as diabetes and AIDS. It also frequently occurs among people who wear dentures.
Treatment consists of controlling conditions that cause the outbreak. Cleaning dentures to remove Candida is important in preventing denture-induced problems.
Saliva substitutes or prescription medications are also available to treat dry mouth. Antifungal medications may be used when the underlying cause cannot be treated or eliminated. Good oral hygiene is essential.
Oral Cancer
Oral or mouth cancer may appear on the lips, tongue, cheek lining, gums, palate (roof of the mouth) or floor of the mouth. Cigarettes and other tobacco products, including smokeless tobacco, are associated with 70 percent of oral cancer cases. Drinking alcoholic beverages can also increase your chances of having oral cancer.
Oral cancer may appear as a white or red lesion, lump or ulcer. It is usually small and painless at first, but can grow and spread quickly. Many oral cancers are discovered during routine dental examinations. Control of leukoplakia and erythroplakia may prevent some oral cancers from developing. Some oral cancers can resemble benign (non-dangerous) changes, so may delay early diagnosis. Early diagnosis and treatment increase the chance of a good quality of life.
What You Can Do
- Schedule regular dental checkups. See your dentist for mouth sores that persist longer than two weeks, even if they are not painful. A biopsy (tissue sample taken for testing) can usually determine the cause or rule out cancer. Your dentist can recognize and often diagnose the type of mouth sore or spot based on its appearance and location.
- Keep a diary of what you eat and drink.
- Keep a list of oral hygiene products (toothpaste, mouth rinse, etc.) you have been using.
- Avoid all tobacco products.
- If you drink alcoholic beverages, do so in moderation.
- See your dentist if you notice any change in your mouth, including pain or discomfort, or the presence of sores in the mouth, even if they are not painful. For oral cancer, early diagnosis and treatment can increase your chance of cure.
Questions or concerns? Talk to your dentist.