Your child’s baby teeth are important!
Baby teeth, also called primary or deciduous (de-SID-joo-us) teeth, help your child chew and speak normally. They hold space in the jaws for the adult (permanent) teeth that come in later.
Your baby’s teeth usually start to appear in the mouth when the child is 6 months old. By age 3, most children have a full set of 20 baby teeth. Baby teeth will later be lost as your child grows, but if a baby tooth is lost too early, it may cause issues like crowding when the adult teeth come in.
Adult teeth begin to come in around age 6. By the time children are teenagers, they usually have all of their adult teeth.
The chart to the right shows when each tooth usually comes in (erupts) and is lost (shed). Not all children get the same teeth at the same time. Your child’s teeth may come in earlier or later than shown here.
Baby (Primary) Teeth

Teething tips
As teeth come in, babies may have sore or tender gums. When your baby is about 6 months old, you may want to start looking for signs of teething, like irritability, drooling more than usual and chewing or biting on hard items. Gums may swell and your baby may have a harder time sleeping or eating. To help your baby feel better, you can:
- gently rub your baby’s gums with clean, wet gauze or your finger
- give them a clean, chilled (not frozen) teething ring — but avoid liquid-filled and plastic teething rings
If your baby is still cranky and uncomfortable, talk to their dentist or pediatrician.
The U.S. Food and Drug Administration (FDA) warns parents not to use benzocaine-containing over-the-counter products to soothe sore gums in young children. These can include products such as Anbesol®, Hurricaine®, Orajel® and Orabase® and some prescription products. These products can cause serious reactions in children. Details are available on the FDA website: www.fda.gov.
First dental visit by their first birthday
Your baby should have their first visit with the dentist after their first tooth appears, but no later than their first birthday. This first visit is a “well-baby checkup” for your child’s teeth. It’s best for your child to have a pleasant first meeting with the dentist. Baby teeth can start to decay as soon as they come in, so forming good oral health habits early is important. Making sure your child is as comfortable as possible with their dentist will help them develop healthy habits. Don’t wait until an emergency comes up to introduce them to the dental office!
You can prevent decay in baby teeth
Sugar is in almost everything that a baby drinks, other than water. This can include 100% juices, breast milk and formula. Sugar left over from food and drink can turn into acid that can attack teeth. The acid can wear the hard outer surface of the teeth, called enamel (e-NAM-uhl), and tooth decay and cavities can start to form.
There are many steps you can take to help prevent decay and keep your baby’s teeth strong.
Breastfeeding:
- After each time you breastfeed, wipe your baby’s gums with a clean, moist gauze pad
or washcloth. - Once your child’s first tooth comes in, be sure to brush their teeth after each feeding.
Bottles, Sipping and Snacking:
- Don’t give your baby fruit juice (even 100% juice) until after they turn 1 year old.
- Don’t let your child sip sugary liquids all day (including juice drinks). Limit sugary liquids and sweets to mealtimes.
- Never put your child to bed with a bottle or training cup.
- Avoid giving your child sugary, chewy, sticky foods like candy, cookies, chips and crackers. Give healthy snacks instead. You can find ideas at www.choosemyplate.gov.
Pacifiers:
- Don’t put a pacifier or spoon in your mouth before giving it to your child. Decay-causing bacteria in your mouth can be passed to them.
- Don’t dip a pacifier or nipple of a bottle in anything sweet.
Clean your child’s teeth to help prevent decay and cavities
Brushing and cleaning between the teeth is as essential for children as it is for adults. Brush your child’s teeth (and yours!) 2 times a day and for 2 minutes each time. You should clean between teeth with floss or a floss aid every day.
How to brush your child’s teeth
Brushing teeth the right way is important, so you should brush your child’s teeth until they have the skills to do it the right way on their own. Although most children can brush their own teeth by 6 years old, they should still be supervised until around age 10.
When you teach your child how to brush the right way, it may help to stand behind them and hold the brush while they watch in the mirror. Teach them to spit out all of the toothpaste after brushing.
Here are some tips for proper brushing:
- Place the toothbrush against the tooth where it meets the gums (also called the gum line).
- Use a 45-degree angle to make sure you are fully reaching the gum line as well as the tooth surface. (See middle picture on the right.)
- Move the brush back and forth gently in short strokes. Brush the outer surface of each tooth. Use the same strokes for the inside surfaces and chewing surfaces of the teeth.
How much toothpaste should my child use?

For children under three years old.

For children three to six years old.
Clean between your child’s teeth every day
Cleaning between your child’s teeth with floss or another between-the-teeth cleaner removes plaque where toothbrush bristles can’t reach. Begin using floss or a floss aid when your child has 2 teeth that are next to each other. Flossing is not easy for children to do by themselves. The ADA recommends that you clean between your child’s teeth daily until they can do it alone, around age 10 or 11.

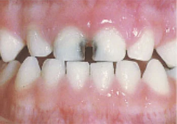
Healthy baby teeth

Moderate decay

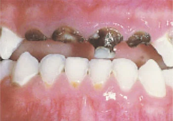
Moderate to severe decay

Severe decay
Fluoride is nature’s cavity fighter!
Fluoride (FLOOR-eyed) is a mineral that is found in all natural sources of water — even the ocean. Fluoride helps protect tooth enamel from the acid attacks that cause tooth decay. It also helps repair weakened enamel before cavities form.
Children who drink tap water that has the recommended level of fluoride are less likely to get cavities than children who do not drink fluoridated water.
Children get added protection from fluoride by getting it from more than one source. Another source of fluoride, besides tap water, is fluoride toothpaste. Fluoride toothpaste is safe, even for young children, as long as they use the recommended amount of toothpaste and spit it out when they are done brushing. Children younger than 3 years old should use no more than a grain-of-rice sized amount of fluoride toothpaste. Children aged 3 to 6 years old should use a pea-sized amount of toothpaste. Fluoride mouth rinses are not recommended for children younger than 6.
Sucking habits
Many infants and young children like to suck on thumbs, fingers and pacifiers. Sucking is a natural reflex and necessary for feeding. However, long-term sucking habits can cause problems. The child’s teeth may not grow in straight and his or her mouth may not develop correctly.
Sucking habits usually stop between the ages of 2 and 4. If your child uses a pacifier or sucks their fingers, talk to their dentist about how to get your child to stop this habit. If the sucking continues, ask your child’s dentist or pediatrician about other ways to discourage sucking.