What Is Periodontal Disease?
Periodontal (perry-o-DON-tal) disease is an infection in your gums that may cause them to bleed or become swollen and sore. It can lead to the loss of the bone that supports your teeth, which can cause tooth loss. Periodontal disease, also called gum disease, is common and can affect people at any age.
The mildest form of periodontal disease is called gingivitis (jin-ji-VY-tis). It makes gums red and swollen and they may bleed easily when you brush. The good news is that gingivitis can be reversed. Sometimes all it takes is better oral care at home and more professional cleanings.
The more advanced form of the disease is called periodontitis (perry-o-don-TIE-tis). It results in more swelling and redness in the gums. In advanced stages, it can also cause the tissue and bone that hold your teeth in place to break down.
You can have periodontal disease without pain or other symptoms. This is one of the reasons why it is important to visit the dentist regularly.
Regular dental visits allow your dentist to detect and treat problems in their early stages before they have a chance to get worse.
What Is Periodontal Disease?
Periodontal disease is caused by plaque (pronounced PLACK), a sticky film that forms on your teeth. Plaque contains bacteria that can lead to periodontal disease.
Healthy gum tissue hugs your teeth tightly. But swollen and irritated gums can pull away from the teeth and form spaces called pockets. These pockets collect more plaque bacteria. If the infected pockets are not treated, the disease will get worse. Bone and other tissues that support teeth can be damaged. Over time, teeth may fall out or need to be removed.
If plaque stays on your teeth, it hardens into a rough substance called tartar. Tartar can trap plaque along and under the gum line, which can increase the chances of developing gum disease. Tartar can only be removed when teeth are cleaned by a dental professional.
How Can I Tell if I Have Periodontal Disease?
Some people with periodontal disease have few or no warning signs. If you notice any of these signs, see your dentist:
- gums that bleed when you brush or floss
- gums that are red, swollen, puffy or tender
- gums that no longer hug your teeth tightly
- bad breath that doesn’t go away
- pus between your teeth and gums
- loose teeth or a change in the way your teeth fit together
- a change in the fit of partial dentures
You can prevent the buildup of tartar with a good oral care routine at home. You can remove plaque by brushing your teeth twice a day and cleaning between your teeth daily. Keeping your teeth and gums healthy helps prevent tooth loss.

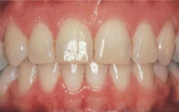
Normal, healthy gums

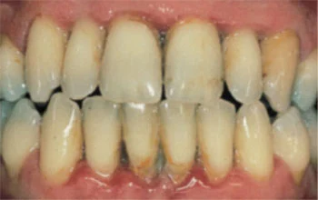
Severe periodontal disease
How Does My Dentist Check for Periodontal Disease?
Your dentist checks for problems by looking at the color and firmness of your gums. He or she also uses a tool called a periodontal probe to gently measure how deep the pockets are between your teeth and gums. When your teeth are healthy, the pockets are usually 3 millimeters (mm) deep or less.
Typically, the worse the disease, the deeper the pocket. This means the bacteria have more room to grow and cause serious damage to your gums and bone, loosening your teeth. Very deep pockets are a sign of advanced periodontal disease.
During your visit, dental x-rays may be taken to check the amount of bone supporting your teeth. Your dentist may also check how well your teeth fit together.


How Do I Keep My Gums Healthy?
- Brush your teeth twice a day with a fluoride toothpaste for two minutes each time.
- Clean between your teeth daily with floss or another between-the-teeth cleaner.
- If you need extra help controlling plaque, your dentist or hygienist may recommend using a germ-fighting toothpaste, mouthrinse or other oral hygiene product.
- Eat a healthy diet for good overall health.
- Don’t use tobacco in any form.
- Visit your dentist regularly for an exam and professional cleaning. With regular dental visits, your dentist can detect and treat periodontal disease in its early stages.
How Is Periodontal Disease Treated?
If you have periodontitis, your dentist may suggest a deep cleaning treatment called scaling (SKAY-ling) and root planing (PLAY-ning). He or she carefully removes plaque and tartar down to the bottom of each periodontal pocket. Your dentist will also smooth your tooth’s root surfaces to allow the gum tissue to heal and reattach to your tooth. This treatment often takes more than one visit.
To control infection, sometimes antibiotics can be placed directly in the pocket after scaling and root planing. Your dentist may also prescribe a mouthrinse to help the area heal.
All dentists are taught to detect and treat periodontal disease. Sometimes your dentist may refer you to a periodontist. This is a dentist who specializes in treating periodontal disease. Periodontists are well-versed in the surgical treatment of the disease.
Periodontal disease will not go away by itself. Preventing and treating the disease in the early stages are the best ways to keep your smile healthy and avoid tooth loss. If you have periodontal disease, follow your dentist’s recommendations for treatment and follow-up care.