Dental implants replace natural missing teeth
Dental implants are posts surgically placed into the upper or lower jawbone. They replace one or more teeth that are next to each other. Implants are an effective way to replace missing natural teeth. When teeth are lost because of disease or an accident, dental implants may be a good option. You may want to choose dental implants if:
- you hide your smile because you have missing teeth
- your dentures are not comfortable
- you are not happy with your removable partial dentures
- you do not have or do not want your other teeth to anchor a bridge restoration
People may choose implants to replace a single tooth, more than one tooth, or to support a full set of dentures.
Dental implants are made of titanium (a strong, lightweight metal) and other materials. Millions of implants are placed by dentists every year in the United States, which makes them a very common and popular option for replacing teeth.

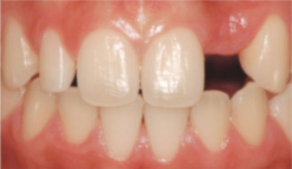
Missing tooth

Missing tooth replaced by a dental implant
Benefits of Dental Implants
Implants offer firm support to natural teeth and have many benefits, including these:
- Implants won’t slip or shift in your mouth. This is very important for eating and speaking normally.
- Implants feel more natural than removable partial or conventional complete dentures because of their secure fit.
- A single tooth implant is a stand-alone unit and doesn’t involve treating the teeth next to it.
- Implants help to preserve the bone after teeth are lost or removed.
- Implants are a good value. They may seem like a more expensive option at first, but they can last a lifetime if you take good care of them.
Single Tooth Implant
A single tooth implant replaces the missing tooth’s roots. It is a stand-alone unit and does not involve treating the teeth next to it.

If you are missing one or more teeth, there are many reasons why you should replace them:
You may not like how the gap looks when you smile.
Missing teeth may affect how you speak.
A missing back tooth (molar) can make it harder to chew.
When a tooth is lost and not replaced, the teeth around it can shift. Shifting teeth can affect how you bite and chew.
Bone loss may occur in the area of the missing tooth or teeth. This may cause the remaining teeth to become loose over time.
Loss of teeth and bone can make your face sag. You may look older.
Implant-Supported Bridge
An implant-supported bridge replaces the lost natural teeth and some of the tooth roots when more than one tooth is missing. Unlike traditional bridges, an implant-supported bridge does not need support from the teeth next to it.
Dental implants replace natural missing teeth

Missing teeth

A bridge is placed on implants

After the bridge is placedlant
Implant-Supported Denture
If you are missing all of your teeth, an implant-supported denture can replace the missing teeth and some of the tooth roots.
Implant-Supported Denture

Before

With Implants

After
Because the bone in your jaw actually grows around the implants, an implant-supported denture tends to be comfortable and stable. This allows you to bite and chew naturally.
Steps of Placing an Implant
Treatment will depend on your personal case and can take only one day, several months, or somewhere in between. Discuss with your dentist which type of implant is best for you. Then, they can create a treatment plan for you.
Implant placement usually involves 3 main steps:
- Placing the implant
Your dentist will use x-rays or other images to carefully find where the implant should be placed. Then, they surgically place the implant into your jawbone. You may have some swelling and/or tenderness after surgery. Your dentist may recommend medicine to make you more comfortable. During the healing process, your dentist may tell you to eat soft foods. - Healing process may take several months
The reason why an implant is so strong is because the jawbone grows around it and holds it in place. This process takes time. Some patients might need to wait up to several months until the implant is completely healed before replacement teeth can be attached to the implant. Other patients can have implants and temporary teeth placed all in one visit. - Placement of the replacement tooth or teeth
For a single tooth implant, your dentist makes a new tooth that is customized for you, called a dental crown. It is designed to look just like your other teeth. For multiple missing teeth, implant-supported bridges and dentures are also custom-made to look like your natural teeth and to fit your mouth. The replacement teeth are attached to the implant posts that were surgically placed in your jawbone.
Replacement teeth usually take some time to make. In the meantime, your dentist may give you a temporary crown, bridge or denture. This will help you eat and speak normally until your permanent replacement teeth are ready.
Implant and Crown Placement

Before implant

The implant is placed in the jaw. Bone and tissues grow around the implant

A crown is placed on the implant. The crown may be connected to the implant by an abutment
Talk to your dentist to see if implants are right for you
Implants are not an option for everyone. You should be in good health and/or cleared by your doctor before scheduling any implant surgery.
- If you are in good general health and your jaw can support an implant, this treatment may be a good option for you. Your health is more important than your age.
- You should have enough jawbone to support the implant or be able to have surgery to build up the jawbone. Bone can be built up with a bone graft or with sinus lift surgery.
- Chronic diseases, such as diabetes and leukemia, may slow healing after surgery. Implant treatment may not be a good option for people with these diseases.
- Using tobacco of any kind (such as dip, chew, cigarettes, pipes and e-cigarettes) also can slow your healing process.
If your dentist does recommend implant treatment, consistent and good oral hygiene is very important for the success of the implant. You must spend time caring for the implant and making sure the area around it is very clean. If not, it increases your risk for infection, which can weaken the bone and tissues that are needed to support the implant.
Other Things to Think About
You should talk about implant treatment carefully with your dentist. Dental implant treatment can take longer and cost more than other replacement options, but they are often a good value because they can last a lifetime.
Regular dental visits and putting in the time to take care of your implant are key to the long-term success of your implant. Your dentist will set up a program to help you keep your implant and natural teeth healthy.
Your dentist also will suggest a home-care routine that meets your needs. It will include brushing twice a day and cleaning between your teeth at least once a day. You also may be told to use a special toothbrush or mouthrinse to help prevent cavities and gum disease.

Flossing picks, sticks or brushes can help clean around implants

Floss threader