CARIES EN DIENTES DE LECHE

¡Los dientes de leche pueden tener caries!

La caries es una enfermedad ocasionada por bacterias

La caries daña y deteriora los dientes. Las bacterias en la boca se alimentan de los azúcares de los alimentos y las bebidas que su hijo ingiere. Las bacterias producen ácidos que pueden deteriorar la capa externa y dura de los dientes llamada esmalte.

Cada vez que comemos o bebemos, ese ácido puede atacar los dientes durante 20 minutos o más. Con el tiempo, se puede desarrollar la caries y formarse un orificio en el diente (una cavidad).

La caries puede ocasionar una infección en los dientes de leche

Las caries pueden aparecer apenas sale el primer diente del bebé, por lo general a los seis meses. Esto puede causar dolor y la infección puede diseminarse. Si la caries no se trata, puede destruir los dientes de leche.

La caries también puede tener otros efectos en la salud general del niño. Si su hijo tiene dolor de dientes, posiblemente tenga problemas para comer. Esto puede interferir en su crecimiento saludable.

Si un diente de leche se cae a muy temprana edad, los dientes contiguos pueden torcerse o desviarse hacia el espacio vacío.

¡Los dientes de leche son importantes!

Los dientes de leche mantienen el espacio en los maxilares para los dientes permanentes. Si un diente de leche se cae a muy temprana edad, los dientes contiguos pueden torcerse o desplazarse hacia el espacio vacío. Cuando entonces vayan a salir los dientes permanentes, es posible que no haya suficiente espacio para ellos. Esto puede ocasionar que los dientes permanentes se amontonen o se tuerzan, lo que hace más difícil mantenerlos limpios.

Si los dientes de leche de un niño son sanos, es más probable que sus dientes permanentes también lo sean. Los niños que tienen caries en los dientes de leche son más propensos a tener caries en los dientes permanentes.

Los dientes con caries y torcidos pueden afectar la autoestima de su hijo. Las caries no solo son nocivas, sino que también tienen mal aspecto. Si su hijo tiene caries, quizás se sienta mal al sonreír. Sin embargo, una sonrisa de apariencia agradable puede darle confianza en la escuela.

Dientes de leche sanos

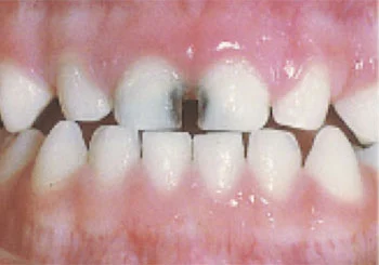
Caries moderades

Caries moderades a graves

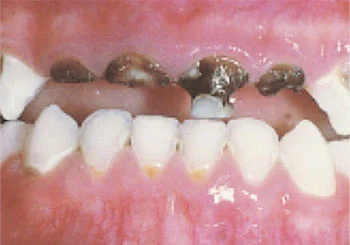
Caries graves

Cómo mantener sanos los dientes de su hijo en cada etapa

Los niños aprenden hábitos saludables de sus padres y encargados. Usted puede comenzar a desarrollar buenos hábitos si le limpia los dientes al niño todos los días, le brinda una alimentación saludable y lo lleva al dentista regularmente.

Antes de que salgan los dientes de leche

  • Limpie las encías de su bebé con una toallita o un trozo de gasa limpio y húmedo después de cada comida y antes de dormir. Esto permite eliminar los restos de alimentos que pueden dañar los dientes que están comenzando a salir. También ayuda a que el niño se acostumbre a tener la boca limpia.

Cuando sale el primer diente del niño (alrededor de los seis meses)

  • Cepille los dientes de su hijo dos veces al día (por la mañana y por la noche).
    • Use un cepillo de dientes de tamaño infantil con cerdas suaves y use una cantidad de pasta con fluoruro del tamaño de un grano de arroz. El fluoruro es un mineral que ayuda a mantener fuerte la capa externa de los dientes. Esto puede ayudar a reducir el riesgo de desarrollar caries.
  • No debe dejar que su hijo se duerma mientras lo amamanta.
  • Nunca ponga al niño en la cama con un biberón ni deje que se duerma con un biberón que contenga leche, leche de fórmula, jugos de fruta o cualquier líquido con azúcar. Las bebidas diluidas también pueden dañar los dientes.
  • Si su hijo usa chupete (chupón), no lo sumerja en azúcar o miel, ni lo ponga en su boca antes de dárselo al niño. Las bacterias de la boca que causan las caries pueden pasarse al bebé.
  • El biberón no debe utilizarse como chupete. Beber sorbos de líquidos azucarados durante el día también puede producir caries.

Cuando salen el segundo, el tercero y más dientes del niño (alrededor de los ocho meses)

  • Intente que su hijo beba de una taza antes de su primer cumpleaños. Las tazas de entrenamiento deben usarse durante un período corto.
  • Una vez que el niño haya aprendido a sorber, ya no es necesario usar la taza de entrenamiento.
  • No permita que su hijo beba constantemente sorbos de bebidas azucaradas (incluidos jugos). Si tiene sed entre los refrigerios o las comidas, ofrézcale agua en su vaso.
  • Cepille los dientes de su hijo dos veces por día y durante dos minutos cada vez. Limpie los espacios entre los dientes apenas tenga dos dientes juntos.

Para niños monores de tres años.

Para niños de tres a seis años.

  • La American Dental Association (Asociación Dental Americana) recomienda que le cepille los dientes a su hijo hasta que tenga por lo menos seis años. Cuando su hijo tenga la edad suficiente para cepillarse bien, obsérvelo para asegurarse de que lo haga durante el tiempo correspondiente. Enséñele al niño a escupir la pasta dental y a no tragarla.

Recuerde: ¡La pasta dental no es un alimento! No le ponga más cantidad de pasta dental porque tiene sabor agradable.

Una alimentación saludable ayuda a desarrollar dientes fuertes en niños de todas las edades

  • Limite los refrigerios entre las comidas.
  • Una nueva indicación de la Asociación Americana de Pediatras recomienda no dar a los niños ninguna clase de jugo hasta después de que cumplan un año, esto incluye los jugos de frutas naturales.
  • Evite el uso de alimentos y bebidas dulces para premiar a su hijo.
  • Si su hijo come dulces, asegúrese de que lo haga con una comida.
  • Los bebés y los niños pequeños deben tener una alimentación saludable. Puede obtener más información en www.choosemyplate.gov.

La primera visita al dentista de su hijo

  • Se recomienda ir por primera vez al dentista después de que aparece el primer diente del bebé, pero antes de que el niño cumpla el año. Esta primera visita es un “control de rutina” para los dientes de su hijo.
  • En esta visita, el dentista puede hacer una revisión para detectar caries y otros problemas. Puede mostrarle cómo limpiarle los dientes a su hijo de manera adecuada.
  • Además, el dentista puede darle consejos sobre la alimentación del niño, el uso del chupete y los productos para el cuidado bucodental de su familia.
  • Los niños deben tener el nivel adecuado de fluoruro para prevenir la caries. Pregunte al dentista de qué manera su hijo puede obtener la cantidad adecuada de fluoruro.

Ready for a
Healthier Smile?

Office hours

Monday – Thursday: 8:00 AM – 5:00 PM
Friday – Saturday: 8:00 AM – 3:30 PM

Contact

Phone: (775) 825-6655
Fax: (775) 825-8691

Limited Time Offer
Invisalign Special
$4,497
$3,997
Save $500

Fill out the form below to claim your exclusive online discount. Our team will reach out to schedule your consultation.

"*" indicates required fields

MM slash DD slash YYYY

By submitting, you agree to be contacted by White Pine Family Dental. Your information will not be shared.